Es la rama de la odontología que trabaja en el área de la restauración dental. Especialidad más utilizada en la práctica odontológica.
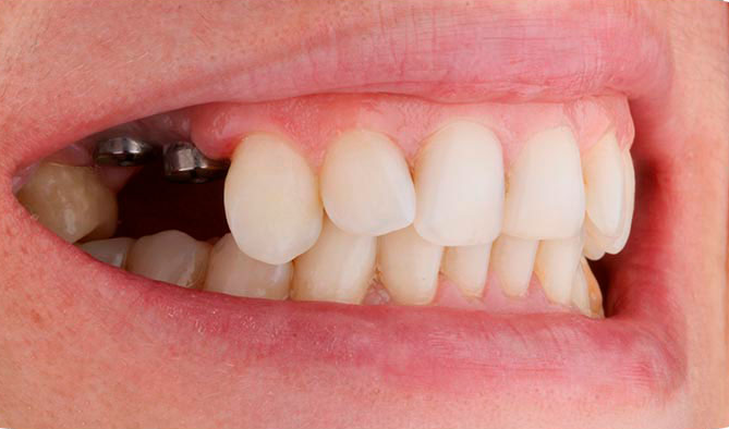
Su atención se centra en la restauración de los dientes, que es una medida importante para la salud del individuo, ya que la permanencia de la caries dental puede causar problemas en los distintos niveles, y negativamente influir en la masticación de los alimentos. Cuando se produce una caries o fractura en un diente anterior, si queremos restaurarlo debemos buscar la máxima estética.

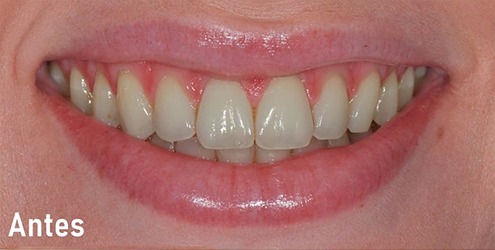
Descubre la diferencia que nuestros tratamientos de odontología estética pueden hacer en tu sonrisa. Arrastra el control para comparar los resultados antes y después.


Existen diversos procedimientos de odontología estética, de entre ellos destacamos los siguientes:
Arrastra el control vertical para ver la diferencia en el blanqueamiento dental
¿Cansado de los dientes amarillos?
En Clínica Dental Oré encontrarás el blanqueamiento dental ideal para ti. Conoce más sobre este tratamiento y regístrate para obtener mayor información.
Materiales que replican exactamente el color, brillo y traslucidez del diente natural.
Técnicas mínimamente invasivas con anestesia local para total confort durante el tratamiento.
Materiales de última generación con resistencia y estética que duran muchos años.
Una sonrisa armoniosa transforma tu imagen personal y profesional.
Fotografías, escáner 3D y análisis de sonrisa digital para planificar tu caso individualmente.
Te mostramos el resultado esperado antes de comenzar, con diseño digital de tu nueva sonrisa.
Aplicamos el tratamiento seleccionado con materiales de alta calidad y tecnología moderna.
Verificamos oclusión, estética y funcionalidad. Tu sonrisa queda perfecta y natural.
